Socket Preservation & Bone Grafting After Extractions

Turn every extraction into a graft-ready, implant-ready site.

1 Day

Exam

2 hands-on sessions

70% practical

2 live presentations

World-class faculty

13 CE credits

Interactive webinars

Study materials

January 23, 2027

Limited seats

Reserve yours today for
$1,190

January 23, 2027

Limited seats

Reserve yours today for
$1,190
1. Our full-day course ensures you learn and gain experience through expert instruction and hands-on.
2. Comprehensive diagnosis and treatment planning for extraction cases.
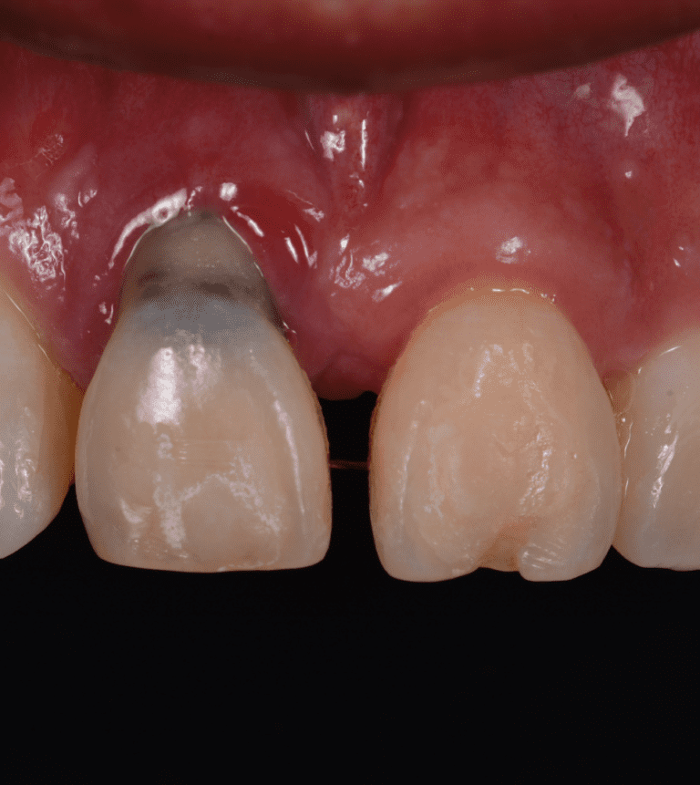
3. Healing of the extraction socket.
4. Biological principles of bone grafting.
5. Valuation and utilization of bone grafting biomaterials.
6. Application of barrier membranes of optimal socket preservation.
7. Minimally invasive techniques for preserving the alveolar ridge.
8. Mastery of suturing techniques for effective wound closure.
9. Optimal timing for implant placement following extraction.
10. Pre and post-operative management protocols for successful outcomes.
11. Pain management strategies and antibiotic therapy considerations.
1. Develop proficiency in diagnosing and planning extraction cases.
2. Understand the selection and utilization of bone grafting biomaterials for socket preservation.
3. Apply barrier membranes effectively to enhance ridge preservation outcomes.
4. Implement minimally invasive techniques for preserving the alveolar ridge structure.

Take the next step in your implant career.

Course outline

Course objective

We're not just teaching, we're helping you

Develop proficiency in diagnosing and planning extraction cases.

Understand the selection and utilization of bone grafting biomaterials for socket preservation.

Apply barrier membranes effectively to enhance ridge preservation outcomes.

Implement minimally invasive techniques for preserving the alveolar ridge structure.

Your learning journey

While training, you’ll earn up to 13 CEs, accredited by the Academy of General Dentistry, PACE. 


All-inclusive learning, all day long

Participate in expert-led lectures, hands-on workshops, and all the materials you need to learn with confidence. You’ll also get access to study resources before and after the course, exams to TRACK your progress, workshop tools, and certificates. Plus, we’re treating you to breakfast and lunch.

Meet your course educators

Dr. Ismael Khouly

Dr. Ismael Khouly is a globally recognized leader in implant dentistry, dedicated to advancing dental education.

Dr. Gustavo Avila-Ortiz

Director of the Graduate Periodontics Program – University of Michigan

It's not just a full-day course, it's an opportunity to learn, connect, and grow

Take the next step in your implant dentistry career— enroll today and gain the expertise to transform your practice.

Ready to Take the Next Step?

Not sure if this course is the right fit for you?

Talk to one of our education advisors and discover how this program can transform your clinical career.

Common
Questions

Is this course right for me?
Yes. It’s ideal for general dentists and specialists who want to confidently preserve bone after extractions and prepare sites for implants.
Not necessarily — we guide you step by step through techniques you can apply immediately in practice.
Absolutely. You’ll perform every procedure hands-on under expert supervision.
You’ll use different grafting materials and membranes — just like in real clinical cases.
Yes, you’ll earn up to 13 CE credits recognized by AGD PACE.
Scroll to Top