Soft Tissue Management Around Teeth
Master predictable techniques for recession coverage and soft tissue enhancement.




2 Days
4 hands-on sessions
70% practical
4 live presentations
World-class faculty
20 CE credits
Interactive webinars
Study materials
Exam
- Perform connective tissue and free gingival graft harvesting
- Practice CAF, T-CAF, and tunneling techniques around teeth in realistic models
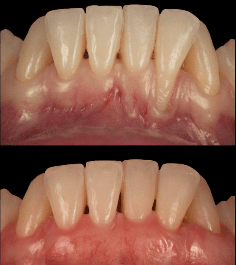
- Gain proficiency in advanced recession coverage protocols
- Learn soft tissue phenotype modification and flap design
COURSE OUTLINE
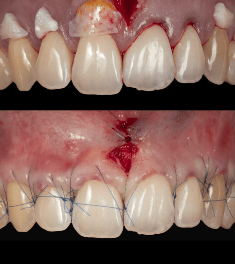
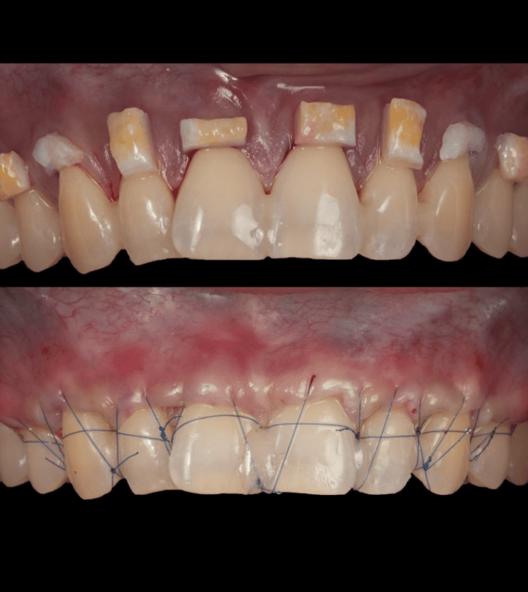
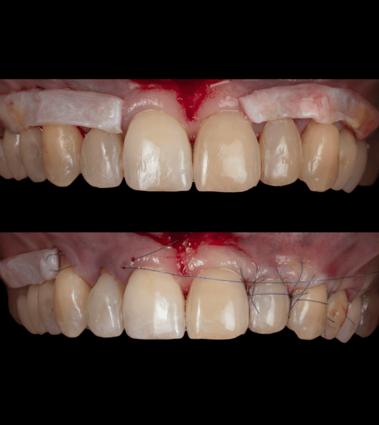
1. Autogenous tissue harvesting & grafting materials
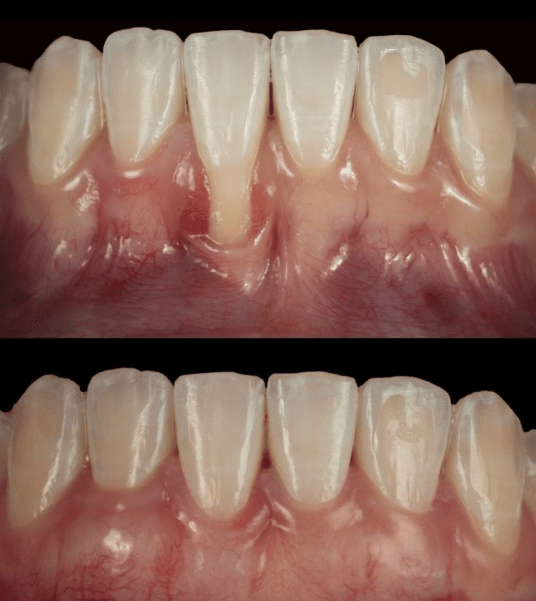
2. Recession treatment
3. Tunneling procedures & TCAF
4. Soft tissue phenotype augmentation
Course objective
1. Develop proficiency in autogenous tissue harvesting techniques, including connective tissue grafting from the palate and tuberosity, ensuring precision in soft tissue grafting procedures.
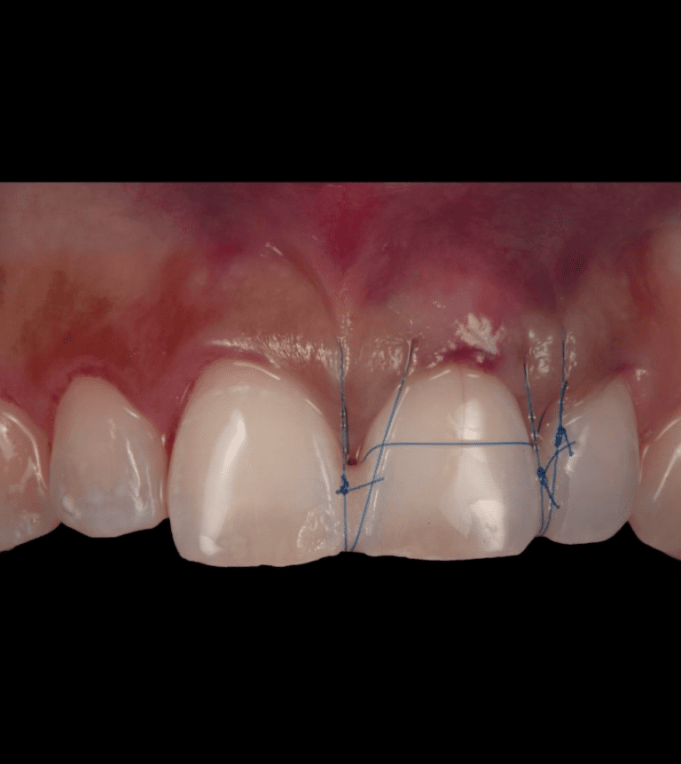
2. Apply coronally advanced flap techniques for single and multiple teeth recession treatment, achieving optimal esthetic outcomes.
3. Demonstrate expertise in tunneling procedures and the tunneled coronally advanced flap (TCAF) technique for managing multiple teeth recession with minimally invasive and predictable approaches.
4. Enhance soft tissue phenotype modification skills by utilizing artificial graft materials to achieve optimal tissue volume and esthetics.
Take the next step in your implant career.
Course outline
Every topic is well crafted to teach you beyond what you know
Autogenous tissue harvesting & grafting materials
- Role of implants in dentistry
- Patient evaluation (medical, social, dental factors)
- Clinical examination & radiographic analysis
- Additional diagnostic investigations
- CBCT & interactive treatment planning
- SAC classification & structured assessment principles
- Radiographic & surgical templates in implantology
Recession treatment
- Role of implants in dentistry
- Patient evaluation (medical, social, dental factors)
- Clinical examination & radiographic analysis
- Additional diagnostic investigations
- CBCT & interactive treatment planning
- SAC classification & structured assessment principles
- Radiographic & surgical templates in implantology
Tunneling procedures & TCAF
- Role of implants in dentistry
- Patient evaluation (medical, social, dental factors)
- Clinical examination & radiographic analysis
- Additional diagnostic investigations
- CBCT & interactive treatment planning
- SAC classification & structured assessment principles
- Radiographic & surgical templates in implantology
Soft tissue phenotype augmentation
- Role of implants in dentistry
- Patient evaluation (medical, social, dental factors)
- Clinical examination & radiographic analysis
- Additional diagnostic investigations
- CBCT & interactive treatment planning
- SAC classification & structured assessment principles
- Radiographic & surgical templates in implantology
Course objective
We're not just teaching, we're helping you
Develop proficiency in autogenous tissue harvesting techniques, including connective tissue grafting from the palate and tuberosity, ensuring precision in soft tissue grafting procedures.
Apply coronally advanced flap techniques for single and multiple teeth recession treatment, achieving optimal esthetic outcomes.
Demonstrate expertise in tunneling procedures and the tunneled coronally advanced flap (TCAF) technique for managing multiple teeth recession with minimally invasive and predictable approaches.
Enhance soft tissue phenotype modification skills by utilizing artificial graft materials to achieve optimal tissue volume and esthetics.
Your learning journey
While training, you’ll earn up to 20 CEs, accredited by the Academy of General Dentistry, PACE.








All-inclusive learning, all day long
Hear from our alumni
Meet your course educators
Dr. Vincent Ronco
PARIS, FRANCE. AUTHOR OF “TUNELLING”.
We collaborate with educators who redefine standards in implant and periodontal therapy. Dr. Vincent Ronco represents that level of refinement.
Become the clinician patients trust
Ready to Take the Next Step?
Not sure if this course is the right fit for you?